Rozród i położnictwo

W Przychodni Weterynaryjnej AURA zapewniamy Państwa pupilom kompleksową opiekę związaną z tematyką rozrodu psów i kotów. Obejmuje ona szkolenia dla hodowców, okres już od neonatologii, poprzez okres szczenięcy (wczesna diagnostyka zaburzeń układu ruchu) poprzez przygotowanie zwierzęcia do wprowadzenia do rozrodu, dalsze planowanie i monitorowanie przebiegu ciąży oraz pełną opiekę w okresie okołoporodowym z cesarskimi cięciami włącznie.

Za wyżej wymienioną tematykę w naszej placówce odpowiada lekarz weterynarii Dariusz Jagódka. Jest on członkiem sekcji rozrodu Polskiego Stowarzyszenia Lekarzy Weterynarii Małych Zwierząt ponad to cały czas bierze udział w szkoleniach, konferencjach i warsztatach poświęconych rozrodowi zwierząt, aby zapewniać opiekę na najwyższym poziomie zgodną z najnowszą wiedzą naukową.To co składa się na kompleksowość naszej usługi to działanie na wszystkich etapach opieki nad zwierzęciem.Proponujemy kompleksową opiekę nad psami i kotami w okresie rozrodczym.

  • Szkolenia dla hodowców
  • Wyznaczanie optymalnego terminu krycia, w oparciu o cytologię i ocenę poziomu progesteronu
  • Badanie andrologiczne, ocena nasienia
  • Przygotowanie nasienia w formie schłodzonej do transportu
  • Konserwacja nasienia w formie mrożonej i dalsze jego przechowywanie lub wysyłka
  • Inseminację nasieniem świeżym i schłodzonym, mrożonym
  • Inseminację DOMACICZNĄ (przy użyciu histeroskopu jak i chirurgiczną)
  • histeroskopia (ENDOSKOPIA DRÓG RODNYCH)
  • inseminacja u kotów
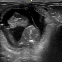
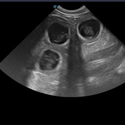
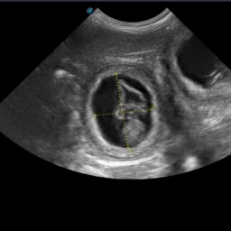
  • Monitorowanie przebiegu ciąży (USG bardzo wysokiej jakości, RTG, badania hormonalne)
  • Biometria płodowa (wyznaczanie terminu porodu na podstawie pomiarów struktur płodowych)
  • Prowadzenie ciąż zagrożonych
  • Przygotowanie do porodu
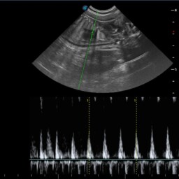
  • Kontrola okresu okołoporodowego przy użyciu przenośnego urządzenia do pomiaru tętna płodów
  • Pomoc porodowa
  • Cesarskie cięcia
  • Opiekę nad suką/kotką oraz szczeniakami/kociakami w okresie okołoporodowym
  • Diagnostyka i leczenie niepłodności
  • Antykoncepcja farmakologiczna i chirurgiczna, WAZEKTOMIA